国家蛋白质科学中心(北京)唐丽&中南大学陈小平团队发现动脉粥样硬化新标志物,设计靶向脂质纳米颗粒显著减轻动脉粥样硬化
| 导读 | GPNMB是一种跨膜蛋白,早在2015年,科学家就发现它在衰老细胞表面富集,成为识别衰老细胞的重要标志物。 |
近日,国家蛋白质科学中心(北京)唐丽&中南大学陈小平团队一项发表于《Nature Communications》的最新研究发现:GPNMB(糖蛋白非转移性黑色素瘤蛋白B)在动脉粥样硬化斑块泡沫细胞中高表达,参与细胞内脂蛋白处理和泡沫细胞形成过程。GPNMB是一种跨膜蛋白,早在2015年,科学家就发现它在衰老细胞表面富集,成为识别衰老细胞的重要标志物。

研究揭示了 GPNMB 在泡沫巨噬细胞中调控脂蛋白处理过程的整体机制
GPNMB:从衰老标志到动脉粥样硬化关键因子

GPNMB 的表达水平与动脉粥样硬化的严重程度呈正相关
该研究表明,GPNMB在动脉粥样硬化患者的血管内皮细胞和白细胞中表达上调。GPNMB在动脉粥样硬化斑块的泡沫细胞中特异性高表达。
对人类和小鼠动脉粥样硬化斑块的单细胞RNA测序分析显示,GPNMB在巨噬细胞源性泡沫细胞中表达水平最高。临床数据进一步表明,血浆中可溶性GPNMB(sGPNMB)水平与动脉粥样硬化严重程度呈正相关,sGPNMB高的患者,其Gensini评分、SCORE风险评分和ASCVD风险评分也相应较高。

GPNMB 蛋白在动脉粥样硬化斑块的巨噬细胞中特异性高表达
机制解析:GPNMB如何调控泡沫细胞形成

转录因子 TFEC 在动脉粥样硬化过程中上调巨噬细胞的 GPNMB 表达
为探究GPNMB在动脉粥样硬化中的具体作用机制,研究人员进行了一系列实验。研究发现,转录因子TFEC能上调动脉粥样硬化斑块泡沫细胞中GPNMB的表达。
活细胞成像显示,GPNMB阳性囊泡参与脂蛋白的内化和运输。当GPNMB发生突变时,细胞内脂滴形成受损,同时脂质β氧化和溶酶体脂解增强,导致巨噬细胞泡沫化减少。此外,研究还发现GPNMB突变促进了溶酶体介导的脂解。GPNMB突变增强了溶酶体的降解能力和膜完整性,降低了溶酶体pH值,增加了自噬溶酶体的数量。
在验证GPNMB作为治疗靶点的潜力时,研究人员构建了GPNMB突变和小鼠模型。实验结果表明,全身性GPNMB突变或髓系特异性GPNMB敲除显著减轻了动脉粥样硬化负担。这些发现表明,抑制巨噬细胞中GPNMB的功能可能是一种潜在抗动脉粥样硬化策略。

通过基因手段抑制或消除 GPNMB 的功能,能减轻模型小鼠的动脉粥样硬化
治疗突破:靶向GPNMB的脂质纳米颗粒显成效

使用靶向 Gpnmb 的 siRNA 纳米药物进行治疗,可缓解小鼠的动脉粥样硬化病情
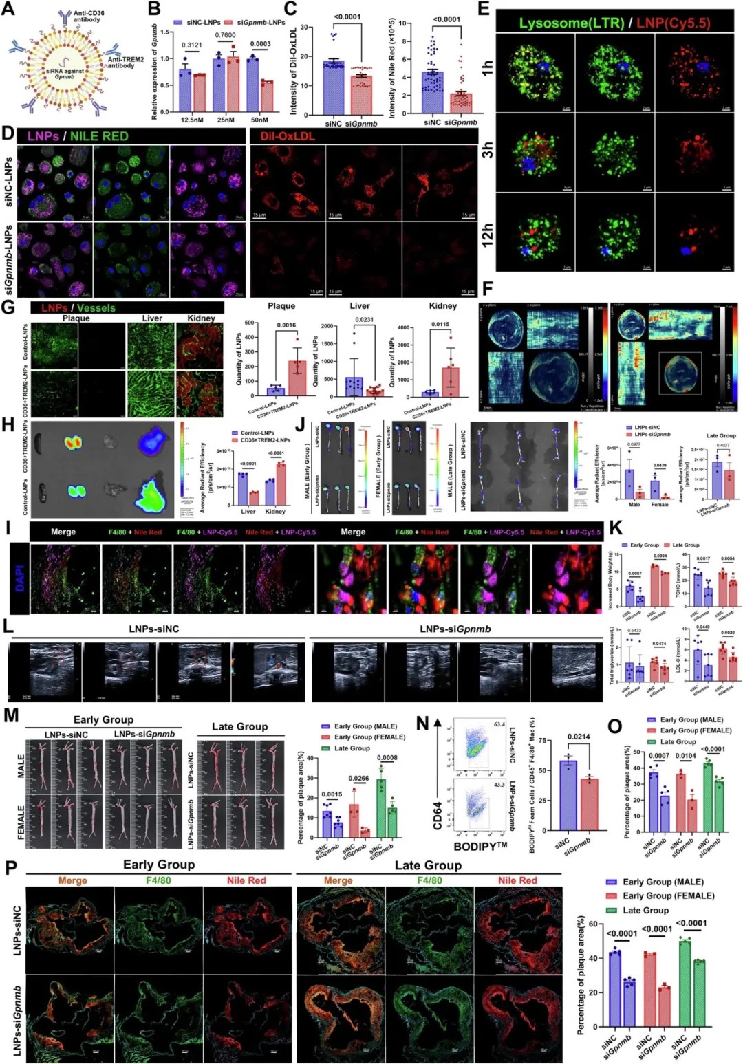
基于上述发现,研究团队探索了靶向泡沫细胞中GPNMB的治疗潜力。他们设计了靶向病变巨噬细胞的siRNA脂质纳米颗粒(LNPs),用于特异性沉默斑块泡沫细胞中的GPNMB。这些脂质纳米颗粒表面耦合了抗CD36和抗TREM2抗体,以提高对巨噬细胞源性泡沫细胞的靶向性。实验表明,LNPs-siGPNMB能有效抑制巨噬细胞泡沫化,与GPNMB突变和髓系特异性GPNMB敲除巨噬细胞中的观察结果一致。
在动脉粥样硬化小鼠模型中,LNPs-siGPNMB治疗显著减轻了动脉粥样硬化负担,并降低了血清甘油三酯、总胆固醇和LDL-C水平。这一治疗策略在早期和晚期动脉粥样硬化中均显示疗效,为动脉粥样硬化的治疗提供了新思路。
研究意义与未来展望
GPNMB已成为连接细胞衰老与动脉粥样硬化的关键分子桥梁。一方面,针对GPNMB的疫苗能够选择性清除衰老细胞,延缓衰老进程;另一方面,调控GPNMB表达可影响动脉粥样硬化发展,为治疗提供了新靶点。
随着靶向GPNMB的脂质纳米颗粒技术在动物模型中的成功验证,未来研究将聚焦于优化递送系统,提高靶向效率,并评估长期安全性。目前正在逐步将GPNMB相关的基础研究发现转化为切实可行的临床干预策略。
原文链接:
https://www.nature.com/articles/s41467-025-65224-x(转化医学网360zhyx.com)
【关于投稿】
转化医学网(360zhyx.com)是转化医学核心门户,旨在推动基础研究、临床诊疗和产业的发展,核心内容涵盖组学、检验、免疫、肿瘤、心血管、糖尿病等。如您有最新的研究内容发表,欢迎联系我们进行免费报道(公众号菜单栏-在线客服联系),我们的理念:内容创造价值,转化铸就未来!
转化医学网(360zhyx.com)发布的文章旨在介绍前沿医学研究进展,不能作为治疗方案使用;如需获得健康指导,请至正规医院就诊。
责任声明:本稿件如有错误之处,敬请联系转化医学网客服进行修改事宜!
微信号:zhuanhuayixue
腾讯登录
还没有人评论,赶快抢个沙发