推荐活动

肺腺癌进展关键机制!南昌大学第一附属医院发文:有前景的抗癌新策略

首页 » 《转》译 2025-11-12 转化医学网 赞(2)
分享: 
导读
乳酸化是一种与糖酵解过程密切相关的新颖翻译后修饰,但乳酸化与糖酵解之间的调控机制尚不明确。乳酸脱氢酶A (LDHA) 催化乳酸的生成,提供乳酸化修饰基团。然而,乳酸化是否发生在LDHA本身上仍然未知。

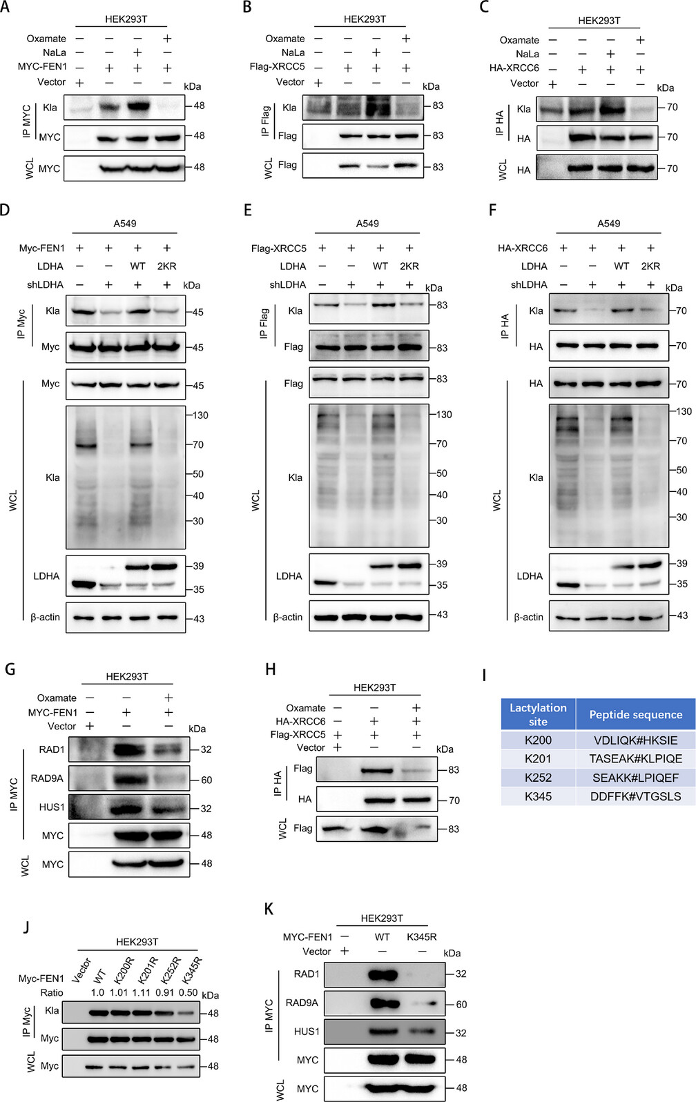
近日,南昌大学第一附属医院研究团队在期刊《Advanced Science》上发表了研究论文,题为“Lactylation Enhances the Activity of Lactate Dehydrogenase A and Promotes the Chemoresistance to Cisplatin Through Facilitating DNA Nonhomologous End Junction in Lung Adenocarcinoma”,本研究发现,乳酰化可促进肺腺癌(LUAD)中乳酸脱氢酶 A(LDHA)的酶活性,进而通过正反馈回路提高细胞整体乳酰化水平。筛选发现赖氨酸 81 和赖氨酸 318 是 LDHA 的关键乳酰化位点,AARS1是介导乳酰转移的酶。质谱分析表明,包括 FEN1、XRCC5 和 XRCC6 在内的许多参与 DNA 非同源末端连接(NHEJ)的蛋白质可能受乳酰化调控。这些蛋白质的去乳酰化显著阻碍了 FEN1-RAD1-RAD9A-HUS1 复合物的形成,从而导致 NHEJ 功能障碍,并增加癌细胞对顺铂的敏感性。总之,这项工作确定了 LDHA 乳酰化是加速 LUAD 进展的关键机制,并揭示了这种乳酰化如何影响 LUAD 细胞对顺铂的敏感性,这加深了对乳酰化介导的肿瘤进展的理解,并为潜在的新型抗癌策略提供了依据。


https://advanced.onlinelibrary.wiley.com/doi/10.1002/advs.202510733

乳酸化:代谢重编程下肿瘤进展的“神秘推手”

 01 

代谢重编程是癌症的一个显著特征。与正常细胞不同,肿瘤细胞即使在有氧环境中也倾向于通过糖酵解快速产生能量,这一现象被称为瓦伯格效应,是肿瘤细胞维持高增殖率的关键因素之一。乳酸作为糖酵解的代谢副产物,不仅充当能量底物和信号分子,还是新发现的翻译后修饰——乳酸化的修饰基团。乳酸化既可发生在组蛋白上,也可发生在非组蛋白上。大量证据表明,乳酸化在神经兴奋、巨噬细胞极化、先天免疫防御和肿瘤发展等方面发挥着重要作用。在肿瘤中,乳酸化已被证明通过调节化疗耐药性、恶性转化、自噬和抗肿瘤免疫来影响肿瘤进展。

乳酸脱氢酶 A 通过调节肺腺癌细胞的全局乳酰化影响 DNA 损伤修复

 02 

研究人员通过检测 FEN1、XRCC5 和 XRCC6 蛋白的乳酰化情况来验证质谱分析的结果。此外,先前已被证实受乳酰化调控的 MRE11 和 NBS1 也得到了验证。研究人员还发现,在 A549 细胞中敲低 LDHA 后,这三种蛋白的乳酰化水平显著降低,而重新表达 LDHA-WT 后,这三种蛋白的乳酰化水平显著升高,但过表达 LDHA-2KR 并未表现出这种效果。整体乳酰化水平也呈现出相同的趋势。这些结果表明,LDHA 影响参与 DNA 损伤修复的蛋白质的乳酰化水平。为了进一步探究这些蛋白质的乳酰化是否会影响 DNA 损伤修复功能,研究人员用奥马特酸处理细胞,发现奥马特酸显著抑制了 FEN1-RAD1-RAD9A-HUS1 四元复合物的形成,这是 NHEJ 所必需的。同时,奥马特酸也显著抑制了 XRCC5-XRCC6 二元复合物的形成。研究人员还发现 K345R 突变显著降低了 FEN1 的乳酰化水平。进一步的研究表明,与野生型 FEN1 相比,FEN1-K345R 与 DNA 损伤修复衔接分子的相互作用明显减弱——这一现象与草酰胺处理后的观察结果高度一致。这表明 LDHA 通过调节参与该过程的蛋白质的乳酰化来影响非同源末端连接(NHEJ)。


乳酸脱氢酶 A 通过调节肺腺癌细胞的全局乳酰化影响 DNA 损伤修复

结论

 03 

综上所述,本研究全面阐明了乳酸脱氢酶 A(LDHA)乳酰化的机制基础,并揭示了其在促进肺腺癌(LUAD)进展中的作用。此外,研究人员还证明了肺腺癌对顺铂的治疗抵抗是通过乳酰化修饰激活非同源末端连接(NHEJ)介导的。(转化医学网360zhyx.com)

参考资料:

https://advanced.onlinelibrary.wiley.com/doi/10.1002/advs.202510733

【关于投稿】

转化医学网(360zhyx.com)是转化医学核心门户,旨在推动基础研究、临床诊疗和产业的发展,核心内容涵盖组学、检验、免疫、肿瘤、心血管、糖尿病等。如您有最新的研究内容发表,欢迎联系我们进行免费报道(公众号菜单栏-在线客服联系),我们的理念:内容创造价值,转化铸就未来!

转化医学网(360zhyx.com)发布的文章旨在介绍前沿医学研究进展,不能作为治疗方案使用;如需获得健康指导,请至正规医院就诊。

责任声明:本稿件如有错误之处,敬请联系转化医学网客服进行修改事宜!

微信号:zhuanhuayixue

评论:
评 论
共有 0 条评论

    还没有人评论,赶快抢个沙发


Baidu
map